|
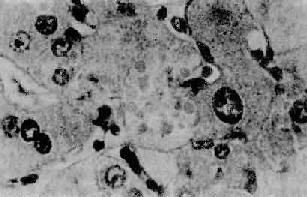
(2)乙型肝炎的发病机制:应用上述肝细胞免疫损伤机制可以解释乙型肝炎出现的不同类型:①T细胞功能正常,感染病毒量多,毒力强时受感染及免疫损伤的肝细胞多而重,表现为急性重型肝炎;②T细胞功能正常,病毒量较少,毒力较弱则发生急性普通型肝炎;③T细胞功能正常,病毒量甚少,毒力很弱则表现为轻型或亚临床型肝炎;④T细胞功能不足,免疫反应仅能清除部分病毒和损伤部分受感染的肝细胞,未清除的病毒可继续繁殖并感染,反复发生部分肝细胞损伤,结果表现为慢性肝炎;⑤机体免疫功能缺陷,T细胞呈免疫耐受状态,此时病毒与宿主共生。病毒在肝细胞内持续复制,感染的肝细胞也不受免疫损伤,此时则表现为无症状的病毒携带者。 四、酒精性肝病 酒精性肝病(alcoholic liver disease)为慢性酒精中毒的主要表现之一。长期大量酗酒者据统计有10%~20%发生此类损伤。严重时出现临床表现,如呕吐、呕血或黑便,其中部分可发生黄疸、肝功能衰竭。 病变 慢性酒精中毒主要引起肝的3种损伤,即脂肪肝、酒精性肝炎和酒精性肝硬变。三者可单独出现,也可同时并存或先后移行。一般认为脂肪肝在先,或经过酒精性肝炎再演变为肝硬变,或直接演变为肝硬变。 1.脂肪肝酒精中毒最常见的肝病变是脂肪变性。肝细胞含有相当大的脂滴,可将胞核推挤到细胞一侧,肝细胞肿大变圆。小叶中央区受累明显,有时同时伴有各种程度的肝细胞水样变性。单纯的脂肪肝常无症状。 2.酒精性肝炎(alcoholic hepatitis)在有临床肝症状表现的病例,常出现3种病变:肝细胞脂肪变性,酒精透明小体(alcoholic hyalin,AH 图10-42)形成和灶状肝细胞坏死伴中性粒细胞浸润。
图10-42 酒精性肝炎 图中央区肝细胞浆内见成群的酒精透明小体 ×400 3.酒精性肝硬变(alcoholic cirrhosis) 一般认为此种肝硬变是由脂肪肝和酒精性肝炎进展而来。一般的脂肪肝,如继续酗酒则多发展为酒精性炎,再演变为肝硬变。酒精性肝炎时肝细胞发生坏死,最终引起纤维化。相邻肝小叶的纤维化条索相互连接,导致肝小叶的正常结构被分割破坏,发展成假小叶及肝细胞结节状再生,形成酒精性肝硬变。 发病机制 肝是酒精代谢、降解的主要场所。酒精对肝有直接损伤作用。其机制如下: 1.NADH对NAD比值增高的效应进入肝内的酒精,在乙醇脱氢酶和微粒体乙醇氧化酶系的作用下转变为乙醛,再转变为乙酸。后一反应使辅酶Ⅰ(NAD)转变为还原型辅酶Ⅰ(NADH),因而NADH/NAD值增高。①NADH增多有抑制线粒体三羧酸循环的作用,从而使肝细胞对脂肪酸的氧化能力降低,可引起脂肪在肝内堆积而发生脂肪肝。②NADH增多可使细胞代谢中的乳酸增多,后者对肝内脂肪变及胶原形成等有促进作用。③NADH增多,使线粒体增加以NADH的再氧化,致耗氧过多。肝细胞因缺氧而易于发生坏死和纤维化。 2.乙醛的毒性作用在酒精代谢过程中产生的乙醛具有强烈的生化反应和毒性,可影响肝细胞膜的性状及抑制肝细胞合成的蛋白的分泌排出。 3.营养缺乏作用嗜酒者常有的营养不足,尤其是蛋白质缺乏,使肝内氨基酸及酶类减少,可以促进酒精的毒性作用。 五、肝硬变 肝硬变(liver cirrhosis)是一种常见的慢性肝病,可由多种原因引起。肝细胞弥漫性变性坏死,继而出现纤维组织增生和肝细胞结节状再生,这三种改变反复交错进行,结果肝小叶结构和血液循环途径逐渐被改建,使肝变形、变硬而形成肝硬变。本病早期可无明显症状,后期则出现一系列不同程度的门静脉高压和肝功能障碍。 肝硬变按病因分类为:病毒肝炎性、酒精性、胆汁性、隐源性肝硬变。按形态分类为:小结节型、大结节型、大小结节混合型及不全分隔型肝硬变(为肝内小叶结构尚未完全改建的早期硬变)。我国常用的分类是结合病因及病变的综合分类,分为:门脉性、坏死后性、胆汁性、淤血性、寄生虫性和色素性肝硬变等。以上除坏死后性相当于大结节及大小结节混合型外,其余均相当于小结节型。其中门脉性肝硬变最常见,其次为坏死后性肝硬变。其它类型较少。 (一)门脉性肝硬变 门脉性肝硬变(portal cirrhosis),旧称雷奈克(Laennec)肝硬变,相当于小结节型肝硬变。为各型肝硬变中最常见者。本病在欧美因长期酗酒者引起多见(酒精性肝硬变),在我国及日本,病毒性肝炎则可能是其主要原因(肝炎后肝硬变)。 病因和发病机制 1.病毒性肝炎慢性病毒性肝炎,尤以乙型慢性活动性肝炎是肝硬变的主要原因,其中大部分发展为门脉性肝硬变。在肝硬变患者肝内常显HBsAg阳性。其阳性率高达76.7%。另外,近年明确的丙型肝炎,大部可转为慢性,由慢性活动性肝炎转为肝硬变者达35%。 2.慢性酒精中毒在欧美国家因长期酗酒引起的肝硬变可占总数的40%~50%。 3.营养缺乏此项因素作为肝硬变的原因尚有争议。动物实验表明,饲喂缺乏胆碱或蛋氨酸食物的动物,可经过脂肪肝发展为肝硬变。 4.毒物中毒某些化学毒物对肝有破坏作用,长期作用可引起肝硬变。临床上偶有因含砷的杀虫剂、辛可芬、四氯化碳、黄磷等慢性中毒引起肝硬变的报告。 上述各种因素首先引起肝细胞脂肪变、坏死及炎症等,以后在坏死区发生胶原纤维增生。后者主要来自增生的纤维母细胞、局部的贮脂细胞及因肝细胞坏死,局部的网状纤维支架塌陷,网状纤维融合形成胶原纤维(无细胞硬化)。初期增生的纤维组织虽形成小的条索但尚未互相连接形成间隔而改建肝小叶结构时,称为肝纤维化。为可复性病变,如果病因消除,纤维化尚可被逐渐吸收。如果继续进展,小叶中央区和汇管区等处的纤维间隔互相连接,终于使肝小叶结构和血液循环被改建而形成肝硬变(图10-43)。
图10-43门脉性肝硬变假小叶形成过程示意图 病变 肉眼观,早、中期肝体积正常或略增大,质地正常或稍硬。后期肝体积缩小,重量减轻,由正常的1500g减至1000g以下。肝硬度增加,表面呈颗粒状或小结节状,大小相仿,最大结节直径不超过1.0cm(图10-44)。切面见小结节周围为纤维组织条索包绕。结节呈黄褐色(脂肪变)或黄绿色(淤胆)弥漫分布于全肝。
图10-44 门脉性肝硬变 肝缩小变硬,表面呈弥漫的细颗粒状 镜下,正常肝小叶结构被破坏,由广泛增生的纤维组织将肝小叶分割包绕成大小不等、圆形或椭圆形肝细胞团,即假小叶(图10-45)。假小叶内肝细胞索排列紊乱,小叶中央静脉缺如、偏位或有两个以上,有时还可见被包绕进来的汇管区。再可见再生的肝细胞结节(也可形成假小叶),其特点是肝细胞排列紊乱,胞体较大,核大染色较深,常出现双核肝细胞。增生的纤维组织常压迫、破坏细小胆管,引起小胆管内淤胆。此外,还可见到新生的细小胆管和无管腔的假胆管(已用角蛋白单克隆抗体免疫组化技术证明,假胆管来源于胆管上皮)。
图10-45 门脉性肝硬变 图中央的肝细胞团由增生的结缔组织所包绕,为一个典型的假小叶 由于上述的肝细胞坏死、纤维组织增生和假小叶形成,相应地破坏并改建肝内肝血管系统,导致异常吻合枝的形成和血管网的减少。 临床病理联系 1.门脉高压症是由于肝内血管系统在肝硬变时被破坏改建引起:①由于假小叶形成及肝实质纤维化的压迫使小叶下静脉(窦后)、小叶中央静脉及肝静脉窦受压,致门静脉的回流受阻。②肝动脉与门静脉间形成异常吻合支(图10-46),压力高的动脉血流入门静脉,使后者压力增高。
图10-46 肝硬变时肝内血液循环变化示意图 正常时肝内血液循环 肝硬变时肝内血管异常吻合 门脉压升高,胃、肠、脾等器官的静脉血回流受阻。晚期因代偿的调,临床出现:①脾肿大(splenomegaly),重量多在500g以下,少数可达800~1000g。镜下,红髓内有含铁血黄素沉着及纤维组织增生,形成黄褐色的含铁结节。②胃肠淤血,粘膜淤血、水肿,致患者食欲不振,消化不良。③腹水(ascites),在晚期出现,在腹腔内聚积大量淡黄色透明液体(漏出液)。腹水形成原因主要有:由于小叶中央静脉及小叶下静脉受压,肝窦内压上升,液体自窦壁漏出,部分经肝被膜漏入腹腔;肝细胞合成白蛋白功能降低,导致低蛋白血症,使血浆胶体渗透压降低;肝灭能作用降低,血中醛固酮、抗利尿素水平升高,引起水、钠潴留。④侧支循环形成,门静脉压升高使部分门静脉血经门体静脉吻合枝绕过肝直接回心(图10-47)。主要的侧支循环和合并症如:食管下段静脉丛曲张,如破裂可引起大呕血,是肝硬变患者常见的死因之一;直肠静脉丛曲张,破裂常发生便血,长期便血可引起贫血;脐周围静脉网曲张,临床上出现“海蛇头”(caput medusae)现象。
图10-47 肝硬变时侧支循环模式图 2.肝功能不全由于肝实质长期反复受破坏,引起肝功能障碍。主要表现有:①睾丸萎缩,男子乳房发育症(可能因肝对雌激素灭能作用减弱);②蜘蛛状血管痣,为出现于体表的小动脉末梢扩张,也可能与体内雌激素过多有关;③出血倾向,患者有鼻衄、牙龈出血、粘膜、浆膜出血及皮下淤斑等。主要由于肝合成凝血因子及纤维蛋白原减少及脾肿大、功能亢进加强了对血小板的破坏;④肝细胞性黄疸,因肝细胞坏死,胆汁淤积而来,多见于肝硬变晚期;⑤肝性脑病(肝昏迷),是晚期肝功能衰竭引起的一种神经精神综合征,主要由于肠内含氮物质不能在肝内解毒而引起的氨中毒,为肝硬变患者常见的死因之一。 结局 肝硬变时肝组织已被增生的纤维组织改建,不易从形态结构上完全恢复正常,但是由于肝有强大代偿能力,只要及时治疗,常使疾病处于相对稳定状态,可维持相当长时期。此时肝细胞的变性、坏死基本消失,纤维母细胞的增生也可停止。但如病变持续进行,发展到晚期,肝功能衰竭,患者可因肝昏迷而死亡。此外,常见的死因还有食管下段静脉丛破裂引起的上消化道大出血,合并肝癌及感染等。 (二)坏死后性肝硬变 坏死后性肝硬变(postnecrotic cirrhosis),相当于大结节型肝硬变和大小结节混合型肝硬变,是在肝实质发生大片坏死的基础上形成的。 病因 1.肝炎病毒感染 现知大部为HBV感染,也有HBV与HDV复合感染。VEV的感染多在孕妇。患者多患亚急性重型肝炎,病程迁延数月至一年以上,则逐渐形成坏死后性肝硬变。另外,慢性活动性肝炎反复发作并且坏死严重时,也可引起。 (责任编辑:泉水) |






