|
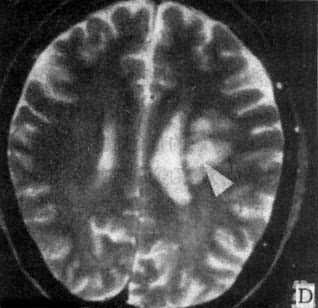
五、脑卒中 脑卒中又称为中风或脑血管意外,可分为出血性和缺血性两种,是由多种病因引起的急性脑循环障碍疾病。以高血压和脑动脉硬化最为常见,好发于中老年人。由于脑出血和脑塞梗塞二者治疗的方法不同,治疗前明确诊断十分重要,目前CT扫描是诊断脑卒中的首选方法。 (一)高血压性脑内血肿 CT表现同血肿的病期有关。新鲜血肿为边缘清楚、密度均匀的高密度区。2~3天后血肿周围出现水肿带,约1周后,血肿从周边开始吸收,高密度灶向心缩小,边缘不清,周围低密度带增宽。约于4周后则变成低密度灶。2个月后则成为近于脑脊液密度的边缘整齐的低密度囊腔。CT可反映血肿形成、吸收和囊变的演变过程。在吸收过程中,如行增强检查可见周边的环状增强,至囊变期则无增强。 血肿好发于基底节或(和)丘脑。血肿周围水肿以第2周明显,可持续1个月。血肿及水肿可引起占位表现。基底节与丘脑血肿易破入脑室,表现为脑室积血部分密度增高。破入脑室的大血肿死亡率高,预后差。 CT还可发现出血引起脑脊液循环梗阻所致的脑积水和脑扩大。 (二)脑梗塞 CT表现与梗塞类及病期有关,分述如下。 1.缺血性脑梗塞 脑血管闭塞后24小时内,CT可无阳性发现。以后则出现低的或混杂密度区,累及髓质和皮质,多为楔形和不整形,边缘不清。常并发脑水肿和占位表现,1~2周后边缘变清楚,2~3周后病灶变成等密度,与脑水肿消失和巨噬细胞反应有关。4~6周则变为边缘清楚,近于脑脊液密度的囊腔,病侧脑室扩大。脑梗塞3天至6周时于低密度区中可出现脑回状,斑状或环状增强,多在皮质,也见于髓质。增强同脑梗塞后修复反应性新生血管长入有关,而血脑屏障破坏,造影剂血管外渗则是次要的。 2.出血性脑梗塞 缺血性脑梗塞经抗凝治疗,血栓碎裂变小,向远侧移动,血液进入再通、但已有坏死的血管,易破裂出血而形成出血性脑梗塞。好发于皮质和基底节,为大片低度区中出现不规则的高密度出血斑。 3.腔隙性脑梗塞 系因小的终未动脉闭塞所致,位于基底节与脑干,直径小于1.0cm。为边缘清楚的低密度灶。 MRI 适宜于观察CT扫描为等密度的亚急性脑内血肿,已如前述。脑梗塞的发现MRI比CT扫描要早,一般起病后6小时MRI即可出现异常。脑干和小脑腔隙性梗塞灶的探测,MRI明显优于CT。脑梗塞灶在T1WI上呈低信号,在T2WI上呈高信号(图5-1-6C、D)。 六、脑血管疾病 (一)脑动脉瘤 直径小于1.0cm,无血栓,无钙化的动脉瘤,虽行增强CT检查也不易显影。较大动脉瘤增强检查后可呈圆形致密影。动脉瘤破裂出血,CT可查出血液在蛛网膜下腔,脑内或脑室内分布情况。还可发现出血引起脑血管痉挛所致的脑梗塞、脑水以及阻塞脑脊液循环引起的脑室扩大。 (二)脑血管发育异常 小的病变CT不易发现,较大或显示为不均等密度、不规则形病灶。出血和钙化则表现为高密度病灶。如无血肿则无占位变化。增强检查可显示迂曲、粗大的供血及引流血管,而病灶则有不规则增强。如发现位置表浅、外形不整的脑内血肿,应行脑血管造影以确定是否因脑血管发育异常出血所致。 脑动脉与脑血管发育异常的诊断靠脑血管造影,但CT诊断其并发症则很难准确。 MRI不需注射造影剂便能直接观察动脉瘤的瘤壁和瘤内血栓(图5-1-6E、F)、血管畸形的供血和引流血管、畸形血管团以及继发性改变,例如脑出血、缺血和软化等情况。但动脉瘤和血管畸形在手术前一般还需作脑血管造影或DSA,以便详细了解脑的供血和脑循环情况。
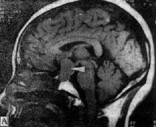
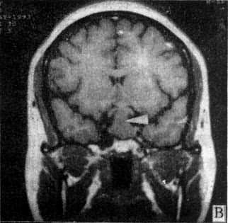
图5-1-6 MRI扫描SE序列图像 在矢状面(A)和冠状面(B)T1WI可见垂体肿块向鞍上延伸,呈等信号区(→);在横断面T1WI(C)和T2WI(D)上分别可见左枕和右基底节区脑梗塞灶呈低和高信号区(→);在矢状面T1WI(E)和横断面T2WI(F)上,可见基底动脉瘤环形影,其内为低信号和高信号区,高信号区为瘤内血栓形成(→) 七、颅内感染 颅内感染的病种很多,包括化脓性、结核性、病毒性和感染,以及脑寄生虫病。 (一)化脓性感染 化脓性脑膜炎早期CT扫描常无异常发现,脑膜粘连可出现脑室积水。并发硬膜下或外积脓时,在脑凸面或大脑镰旁可见新月形或梭形低密度灶,脓肿壁明显增强。脑脓肿早期CT表现为边缘模糊的低密度灶,伴有占位效应,代表急性脑炎期。脓肿形成期在大片低密度区内可见等密度环,壁薄和均匀性环形强化;产气杆菌感染,脓腔内可出现气泡或液面。CT可明确脓肿的部位、大小、数目和多房性;协助脓腔穿剌引流,并动态观察其发展和演变过程。目前脑脓肿的死亡率已由过去的36%~53%下降接近为零,这是由于CT的早期诊断和精确定位,配合临床及时准确治疗的结果。 (二)结核性感染 结核性脑膜炎的脑底渗出或肉芽增生,在CT上可表现为脑底池广泛或局灶性增强。结核瘤则出现等或混杂密度灶,可有钙化,均匀或环形强化。 (三)病毒性感染 单纯疱疹病毒性脑炎,CT表现为颞区低密度灶,边界模糊或清楚,占位效应轻,无增强。散发性脑炎可由多种病毒感染引起,CT上显示脑内散在性低密度灶,有时CT扫描阴性。 (四)真菌性感染 自然界普遍存在着真菌,当机体免疫或能低下时,常易罹患真菌感染,常见者有新形陷球菌、毛霉和茀状菌等。CT表现为脑炎、脑膜炎、肉芽肿、囊肿、脑出血或脑梗塞。真菌性肉芽肿呈等或高密度灶,灶周有脑水肿,增强CT呈大小和数目不等的强化结节,类似脑转移瘤的CT改变。 (五)脑寄生虫病 脑囊虫病典型CT表现为多发性小囊,囊壁或囊内的致密小点代表虫体的头节;散在性小圆形钙化点则表示死亡变性的囊肿;有时二者同时存在提示重复感染。脑血吸虫病急性脑炎型CT表现为低密度脑不肿区;慢性肉芽肿型则表现为强化结节,其形状、大小和数目不一。脑包虫病CT表现为巨大脑内囊肿,边界清楚,CT值类似水,周围无水肿。 CT扫描阴性的颅内感染性疾病例如脑膜炎和病毒性脑炎等,MRI常可获得进一步的证实。 八、其他脑疾病 (一)变性脑病 大脑变性脑病常见的老年性痴呆和多发脑梗塞性痴呆,CT扫描可见幕上脑室普遍性扩大,脑沟增宽,对称或非对称性,血管性痴呆尚可见多发性新老梗塞灶存在。 小脑和脑干变性疾病常见的有橄榄-脑桥-小脑萎缩和Marie共济失调,CT显示第四脑室扩大,小脑上沟增宽,后颅凹脑干周围脑池扩张。 基底节变性疾病有Wilson病、Parkinson病和CO中毒等,CT上显示脑室扩大以侧脑室前角扩大为明显,脑底池和外侧裂池增宽,脑基底节区有时可见对称或非对称性低密度灶。 (二)脱髓鞘脑病 先天性髓发育不良或称为脑白质营养不良,可见于异染性脑白质营养不良、类球状细胞白质营养不良、肾上腺脑白质营养不良等。CT表现脑白质对称性密度减低,与脑皮质的对比鲜明。获得性髓鞘脱失又称为脑白质病,常见有多发性硬化和皮质下小动脉硬化性脑病等,CT表现为脑室周围散在性斑片或带状低密度灶,伴有程度不同的脑萎缩。 (三)先天性畸形 脑膜(脑)膨出CT可见颅骨缺损,自缺损处突出一液性软组织包块,有的包块内有脑组织。胼低体发育不全显示双侧侧脑室扩大并分离,第三脑室扩大向上前移位于分离侧脑室之间,有的合并脂肪瘤或囊肿。Chiari畸形上CT可见小脑扁桃体下疝;有时伴有脑干、小脑和第四脑室延长下疝及脑积水改变,可合并脊髓空洞症、脑膜膨出及其他脑脊髓畸形。 (四)新生儿脑病 新生儿窒息CT可见弥漫性脑水肿、颅内出血或脑室内外积水。新生儿颅内出血由于产伤或缺氧所引起,出血于硬膜下或硬膜外腔、蛛网膜下腔、脑和脑室内,而以室管膜下出血具有特征性,CT表现沿脑室壁出现高密度线形影,后期遗留交通或非交通性脑积水。 MRI对许多变性脑病、脱髓鞘脑病和先天性畸形能够比CT提供更多的信息资料,可作为CT扫描诊断的补充。 九、脊柱和脊髓疾病 (一)椎管狭窄 椎管狭窄分为骨性和软组织狭窄,骨性椎管狭窄又分为中心型狭窄和周围型狭窄,后者指侧隐窝和椎间孔狭窄。先天性椎管狭窄常伴发于骨发育不全;获得性椎管狭窄可由骨折、炎症、肿瘤和退行性变引起,临床上出现一系列脊髓、脊神经和营养血管的压迫症状。横断面CT扫描可直接观察椎管狭窄变形,测量椎管大小并探明引起椎管狭窄的病因。 (二)椎间盘脱出CT扫描可直接显示突出于椎管或椎间孔内的软组织块影,与椎间盘相连或游离于椎管内,硬膜囊受压变形,硬膜外脂肪层变薄或消失,脊神经根增粗或湮没。椎间盘性变性显示变扁变形,向周围膨出,或出现气体(直空现象)。MRI上显示更为清楚。 (三)脊髓疾病 脊髓损伤急性期可见脊髓出血、水肿、受压、移位、挫伤或断裂;慢性期可见脊髓软化、萎缩、囊变或空腔化。脊髓肿瘤位于髓内者多为星形细胞或室管膜瘤,髓外硬膜内者多为脊膜或神经纤维瘤,硬外肿瘤以转移瘤常见。脊髓造影配合CT扫描才能对椎管内肿瘤作出正确的定位诊断。先天性畸形常见有脊髓空洞症、脊髓纵裂和脊髓血管畸形等,后者需行增强CT扫描。可显示脊髓表面扩张扭曲的血管影,并能确定血管畸形在椎管内大致伸延的范围。 MRI的软组织分辨率比CT高,矢状面扫描图像上可直观地显示脊髓病变的全貌及与周围组织结构的关系,是当今诊断脊髓疾病的最佳选择。 (责任编辑:泉水) |






